肺がん検診を受けられた方 人間ドックで肺を受けられた方
お疲れ様でした。検査結果は届きましたでしょうか
異常なしの方は来年も受診していただけたらと思います。
要精査になられた方は必ず受診をお願いします。
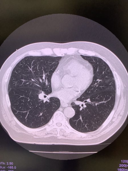
要精査の場合、肺の時はCT検査をさせていただくと思います。輪切りの状態で肺をみますので
詳細に診断できます。
たまに前も大丈夫だったから今年も大丈夫だと思うから受けなくても‥という方も見えるかと思いますがが確定ではないですし、昨年無かったのに今年にはある事も!
ですから必ず受診してください
放射線課 中川
2024年07月24日更新
視力検査の際に乱視だから見えないと言われます。
乱視のない患者様にも乱視があるからと言われることもあります。
さて、乱視とはなんでしょうか?
乱視は、屈折異常の1つです。
屈折力が屈折点により異なるために、焦点を結ばない状態のことをいいます。
乱視は焦点が2つあるのでどこにもピントがあっていない眼と言えます。
正乱視と不正乱視があります。
矯正方法としては、眼鏡やコンタクトレンズなどがあります。

医療技術部 谷
#視能訓練士 #眼科
2024年07月23日更新
こんにちは透析室スタッフです😃
新しく透析室で始めたペダル漕ぎの装置ですが新台が出ました。
今回は高負荷と低負荷を導入しました。患者様に合わせてペダルの重さを変えて実施しています。
高負荷は自転車のギアのように重たいですね。そんな重さでも漕いでいる患者様も居られます。
横になっているのはベットに置いてできるようになっています。
(医療技術部 ME谷)
2024年07月22日更新