こんにちは
透析スタッフの阪田です!
先日、第60回日本肝癌研究会に行ってきました
初めての学会ということで、事前準備として肝癌に関する勉強をしてから学会に臨んだのですが準備が無意味に思えるくらいハイレベルな内容でした。
主にシンポジウムという参加者が討論をする場を見ていました。
やはり学がある人、知識が豊富な人はとてもかっこよかったです。初めての学会ということもあり、色々な刺激があり向上心に繋がる良い経験をしたと感じました!
#臨床工学技士
#第60回日本肝癌研究会
#学会


2024年07月19日更新
こんにちは リハビリ課スタッフです。
今日も以前に引き続き、小児リハビリで使う教材を紹介します。
絵カードです。
同じ絵カードでマッチングや、なぞなぞの問題を聞いてカードを選んでもらったり、クイズの問題を出してもらったりして使っています。
色々な使い方ができて、訓練ではたくさん登場します。
リハビリテーション課 小川
2024年07月18日更新
こんにちは!
四日市消化器病センター、検査の杉本です。
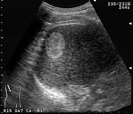
今回は肝臓の所見、肝血管腫についてお話ししようと思います。
肝血管腫は肝臓の良性腫瘍の中で最も頻度の高い腫瘍です。
細い血管がスポンジ状に集まったもので、多くはこのような高エコーの見た目をしています。
これは腹部エコーによって、必ずしも他の肝腫瘍と鑑別できるわけではないことに
注意が必要です。
もしこの所見をもつ方は、一度胃腸肝臓専門病院でせ検査していただきたいと思います!
2024年07月17日更新