文字サイズ:
採用情報

スタッフブログ

パラスポーツ競技のご紹介^ ^

こんにちは!リハビリテーション科の横山です。
今日はパラスポーツのご紹介です(^^)

シッティングバレーボールは障害のある選手を対象とし、お尻(臀部)を床につけた状態で競技するバレーボールです! 1956年、戦争で傷ついた兵士たちのリハビリを目的にオランダで考案され、世界に広まりました。

パラリンピックでは、上肢または下肢に障害のある選手が対象です。 障害の程度により軽度障害と重度障害に分けられ、競技中のコート上の6選手のうち軽度障害の選手は1名までと定められています。

シッティングバレーボールはコートが小さく、選手同士の距離が近いスポーツです。近距離から力強いスパイクやサーブを打つので、ボールが飛んでくる時間も短く、スピード感のある駆け引きも見どころです!

暑くなってきたので、体調に気をつけてお過ごしくださいね!

2024年06月13日更新

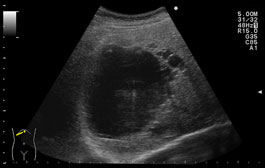
肝臓所見 〜肝嚢胞〜

こんにちは!

四日市消化器病センター、検査の杉本です。

今日は、腹部エコーで発見される肝臓の所見のなかで最も多い肝嚢胞についてお話ししようと思います。

肝嚢胞は、液体が貯留した袋状のものです。単発、あるいは多発し、通常は無症状ですが、

大きくなると腹部膨満感、圧迫感を感じる方もいらっしゃいます。

定期的な腹部エコー検査により大きさの変化や腫瘍の可能性がなく、無症状であれば

経過観察でよいとされています!

 

2024年06月12日更新

こんにちは!リハビリテーション課スタッフです。

本日はボッチャについて紹介したいと思います。
写真にもありますが、ボッチャは誰でもできるスポーツとして、ヨーロッパで誕生しました。

私自身も競技をした経験がありますが、非常に奥が深い競技だと感じました。
三重県では(三重県とこわか)と言う団体がボッチャを含む様々な競技の主催を行っており、興味のある方はお問い合わせしてみてはいかがでしょう!?

医療技術部 高橋

2024年06月7日更新