文字サイズ:
採用情報

スタッフブログ

脳ドック

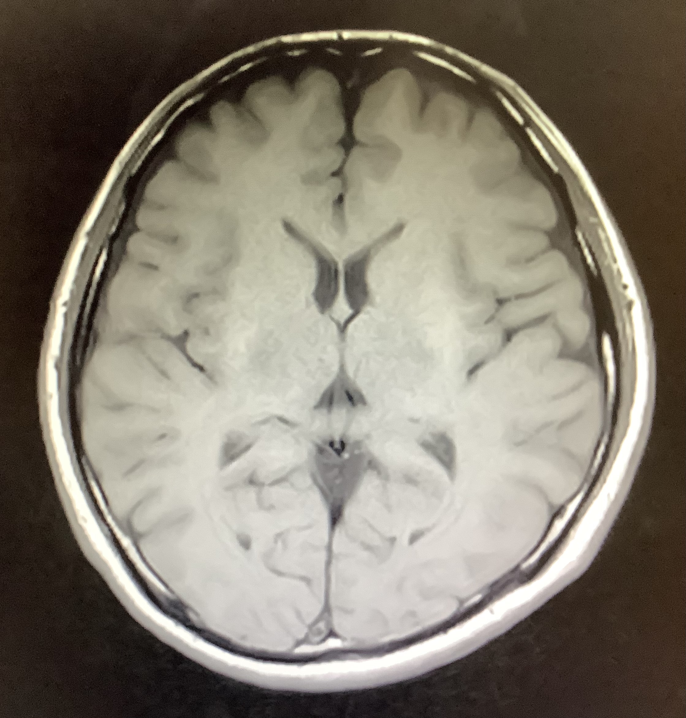
四日市消化器病センターの脳ドックは
頭部MRIと頚部エコーの検査を行っています。頭部MRIでは脳の血管など撮像する事で脳卒中、脳疾患などチェック出来ます。
頚部エコー検査では頚動脈の状態や動脈効果などが分かります。
脳卒中や脳疾患など早期発見や予防に役立ちますので是非
気になる方はご利用ください。

四日市市役所から国民健康保険の方対象で脳ドック受診料一部補助(上限10000円)があります。
当院でも利用可能です
詳しくは市役所にご確認下さい。

医療技術部 中川

2023年07月19日更新

こんにちは!
透析センタースタッフです!

本日は海の日です。
皆さんいかがお過ごしでしょうか?
海の日はもともと海の記念日という名前で施工された日は1996年7月20日。明治天皇が東北巡行の際、東大巡視船『明治丸』で青森から横浜港に帰着された日にちなんでいるそうです。
この投稿を閲覧されている方の中には休日出勤されている人もいると思いますが、三連休最後のお休みをゆっくりお過ごしください。

(臨床工学技士 高木)

#四日市消化器病センター
#四日市ヘルスプラス診療所
#お休み
#海の日
#三連休
#海の記念日

2023年07月17日更新

海外の患者さん 臨時透析の風景

透析治療を受けられているタイの方が日本に旅行に来られており本日、臨時で透析治療を行いました

海外の患者さんの透析を実施するにあたり透析室のMEでタイの言葉を予め準備したり、診療情報提供書の翻訳、物品の選択などを行い安心して治療を受けてもらえるよう事前にしっかりと準備を進めてきました

下の写真は実際に準備したものです

 

透析中は針が抜けてしまうことを予防するためにテープで血液の通るチューブを固定するのですが

そのやり方がタイ(A病院)と日本(四日市消化器病センター)では違いが感じられました

↓タイ(A病院)の固定のやり方

 

↑日本(四日市消化器病センター)の固定のやり方

 

当院に来院されてからは通訳さんを始め、タイに数日住んでいた臨床工学技士 谷を中心に透析室スタッフ全員で協力しあい安心*安全な治療提供ができたのではないかと思いました。

患者さんとの会話で暑いですねとお話したらタイのほうが暑いですよと返答があり、日常会話もでき、場も和みました。

今回の臨時透析では人の命を預かる以上、事前準備や体制を整える事が大変重要であることをより強く感じることができました。

今後もこのような機会があった際には患者さんに心地よく透析治療を受けてもらえるよう徹底的な準備をしていきたいです!

医療技術部:高橋

#旅行透析

#出張透析

#臨時透析

#ゲスト透析

#四日市消化器病センター

#タイ

#タイ谷ック

2023年07月15日更新